Skip to main content
Menu
Our Dental
Services
(650) 938-1868
Call
Home
About Us
About Us
Meet Dr. Shen
Meet Dr. Nguy
Meet the Staff
Office Tour
Career Opportunities
Blog
Newsroom
Dental Services
General Dentistry
General Dentistry Overview
Tooth-Colored Fillings
Dental Crowns
Dentures
Periodontal Treatment
Root Canal Treatment
Restorative Dentistry Overview
Advanced Dentistry
Sleep Apnea Treatment
Wisdom Teeth Removal
Laser Dentistry
Bone Grafting
Gum Grafting
Emergency Dentistry
Emergency Dentistry Overview
Root Canal
Tooth Extractions
Dental Implants
Dental Implants
All-on-4
®
& All-on-6 Implant Dentures
Cost of Dental Implants
Implant Bridge
Implant-Supported Dentures
Full Mouth Reconstruction
Bone Grafting
IV Sedation Dentistry
Sedation Dentistry
Sedation Dentistry Overview
Oral Conscious Sedation
IV Sedation Dentistry
Cosmetic Dentistry
Cosmetic Dentistry Overview
Porcelain Veneers
Teeth Whitening
Smile Makeover
Full Mouth Reconstruction
Sleep Apnea Treatment
Sleep Apnea Overview
Wisdom Teeth Removal
Wisdom Teeth Overview
IV Sedation Dentistry
Testimonials
Testimonials
Online Reviews
Gallery
Contact
Contact Us
New Patient Forms
Patient Financing
Specials
Mountain View Dentist and Implantologist Dr. Donian Shen
Gallery
Home
•
Gallery
•
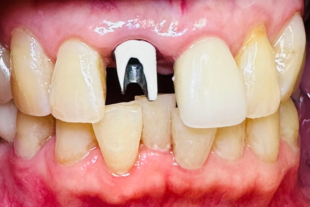
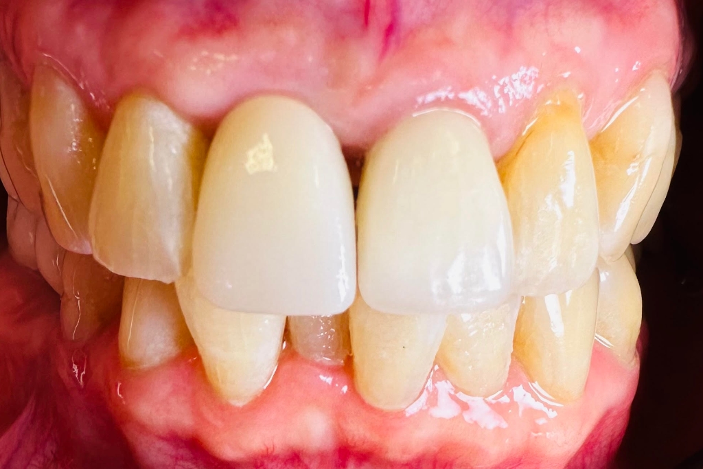
Patient 44
Patient 44
Case Details
Implant final restoration
Back to Main Gallery